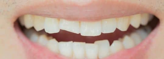
Common Reasons Teeth Crack or Break
The most common reasons teeth crack or break are teeth grinding (bruxism), biting down on hard objects, large old fillings that weaken the tooth structure, sudden temperature changes in the mouth, and age-related enamel wear. According to a 2024 meta-analysis published in the journal JDR Clinical & Translational Research, the global prevalence of bruxism is [...]





