All On Four®
If you are missing all of your teeth or if your current teeth are in rough shape then the concept of all on four may be for you. All on four is the removal of all remaining teeth with 4 implants taking the place of the missing teeth. Then, a full set of teeth attaches to the implants to replace the missing teeth. This can be a great treatment option, and we are happy to discuss this treatment with you.
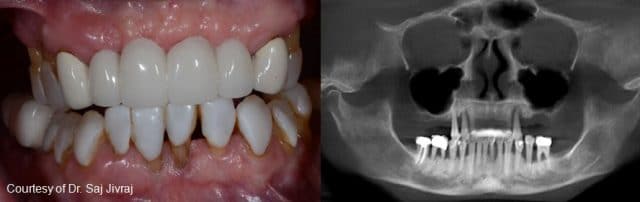
What is the All-on-4® treatment concept?
The All-on-4® treatment concept is a cost-efficient, graftless solution that provides patients with a fixed full-arch prosthesis on the day of surgery.
Characteristics include:
- Full-arch rehabilitation with only four implants
- Two straight anterior implants and two implants tilted up to 45º in the posterior
- Immediate Function (fixed provisional bridge)
- For patients meeting criteria for immediate loading of implants
- Graftless procedure
- Bone grafting is avoided by tilting the posterior implants, utilizing available bone
Why 98% of patients would recommend the All-on-4® treatment concept
Rapid Improvement In Quality of Life
A fixed full-arch prosthesis on the day of surgery quickly leads to improved patient satisfaction – with regards to function, esthetics, sense, speech and self-esteem.
Shorter Treatment Times
Tilting of the posterior implants avoids the need for time-consuming bone grafting procedures, while immediate loading shortens time-to-teeth.
Lower Costs
The concept is the least costly in comparison with conventional implant treatment modalities of the edentulous and soon-to-be edentulous jaw.
Who Is A Candidate For An All On Four Treatment Plan?
Patients with terminal dentition
A significant number of cases treated with the All-on-4® treatment concept are patients with failing dentition.

Patients with edentulism are also often eligible for the All-on-4® treatment concept. A thorough evaluation of any patient is necessary in order to choose the right treatment and to establish a predictable treatment outcome. In our new e-book you will find four steps to help you identify the right patient and recommendations for treatment planning.